Preço de alinhadores em Brasília: fatores que influenciam e como comparar propostas
Entenda por que os preços variam, o que costuma estar incluso, como comparar com aparelho fixo e o que observar para decidir com segurança — sem propaganda e sem letras miúdas.
Agendar avaliaçãoResumo do post
- Principais fatores: complexidade (leve/moderada/complexa), tecnologia e laboratório, experiência clínica, suporte, política de refinamentos e contenções.
- Compare “preço” x “valor”: verifique o que está incluso (refinos, contenções, revisões) e como é o suporte.
- Alinhadores x aparelho fixo: fixo parece mais barato no início, mas há manutenção mensal por 24+ meses, além de instalação/remoção/contenções.
Por que o preço varia?
O investimento em alinhadores reflete uma soma de fatores clínicos, tecnológicos e de suporte. Na prática, o valor depende de:
- Complexidade do caso: quantidade e tipo de movimentos, rotações, fechamento de espaços, necessidade de acessórios, etc.
- Tecnologia e laboratório: planejamento digital, materiais das placas, controle de qualidade e tempo de produção.
- Política de refinamentos e contenções: há propostas que incluem refinos/contensão ao final; outras cobram à parte.
- Suporte e experiência clínica: frequência das revisões, disponibilidade de atendimento e a mão clínica fazem diferença.
- Estrutura e localização: equipe, biossegurança, tempo de cadeira e conforto também entram no custo.
- Condições de pagamento: em alguns períodos, existem parcelamentos estendidos que ajudam no planejamento financeiro.
Quanto custa em Brasília?
Considerando diferentes fornecedores e propostas, a faixa de investimento observada em Brasília costuma ir de R$ 4.500 até cerca de R$ 20.000. Casos leves tendem a ficar na parte inferior da faixa; casos moderados e complexos, acima.
*A faixa exata depende do que está incluso (refinamentos, contenções), da tecnologia e do suporte clínico.
Preço x valor: como comparar propostas
Checklist rápido
- Refinamentos incluídos? Quantos ciclos e quais critérios.
- Contenção ao final? Tipo (colada/removível) e por quanto tempo.
- Revisões e suporte: intervalo entre consultas, canais de contato e prazos.
- Planejamento: quem executa, como valida e como mede previsibilidade.
- Transparência: o que é refeito sem custo e o que é extra.
Comparativo com aparelho fixo
- O fixo pode parecer mais barato no início, mas some manutenção mensal por 24+ meses.
- Verifique custos de instalação, remoção e contenções — nem sempre estão inclusos.
- Nos alinhadores, parte do valor cobre a previsibilidade digital, conforto e menor tempo de cadeira.
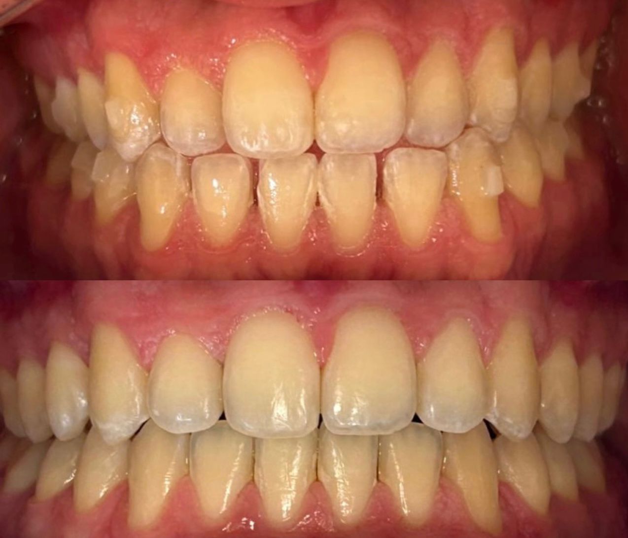
Exemplos por categoria de tratamento
Casos ilustrativos leve, moderado e complexo — para noção de complexidade. A avaliação clínica define o plano.

- Complexidade: simples
- Estimativa: 6–8 meses

- Complexidade: moderada
- Estimativa: 9–12 meses

- Complexidade: alta
- Estimativa: 12–18 meses
*Estimativas médias. O plano final depende da avaliação clínica e da adesão ao uso (20–22h/dia).
AGENDAR UMA CONSULTAO que pode estar incluso (e muda o custo total)
- Refinamentos sem custo adicional (quando previstos em política de tratamento).
- Contenções ao final (colada/removível, conforme indicação clínica).
- Revisões periódicas com intervalos definidos e suporte por canais oficiais.
- Orientações e kits de cuidado (estojo, instruções e acompanhamento de adaptação).
Pronto para avaliar seu caso com alinhadores?
Atendimento personalizado no Lago Norte (Brasília) com a nossa ortodontista.
Agende sua consulta







