Estudo de Caso • Ortodontia
Alinhadores invisíveis em adolescente: Classe II + apinhamento (em andamento)
Abilità Odontologia • Lago Norte (Brasília)
⏱️ Previsão: ~18 meses*
🦷 Alinhadores + elásticos/botões
📈 Em andamento
Aviso: a resposta biológica é individual; tempos e resultados variam. Avaliação clínica é indispensável.
Agendar no WhatsAppQuem é o paciente e qual era o incômodo?
- Idade: adolescente
- Queixas: apinhamento anterior, “sorriso apertado”
- Prioridade: máxima discrição
Avaliação e diagnóstico
- Relação: Classe II
- Apinhamento: superior e inferior
- Perio: saudável para início; higiene reforçada
Por que alinhadores?
- Estética e discrição
- Higiene facilitada
- Conforto e previsibilidade
Plano
- Alinhadores invisíveis SouSmile - Plano Plus
- Acessórios: botões + elásticos
- Consultas e possíveis refinamentos
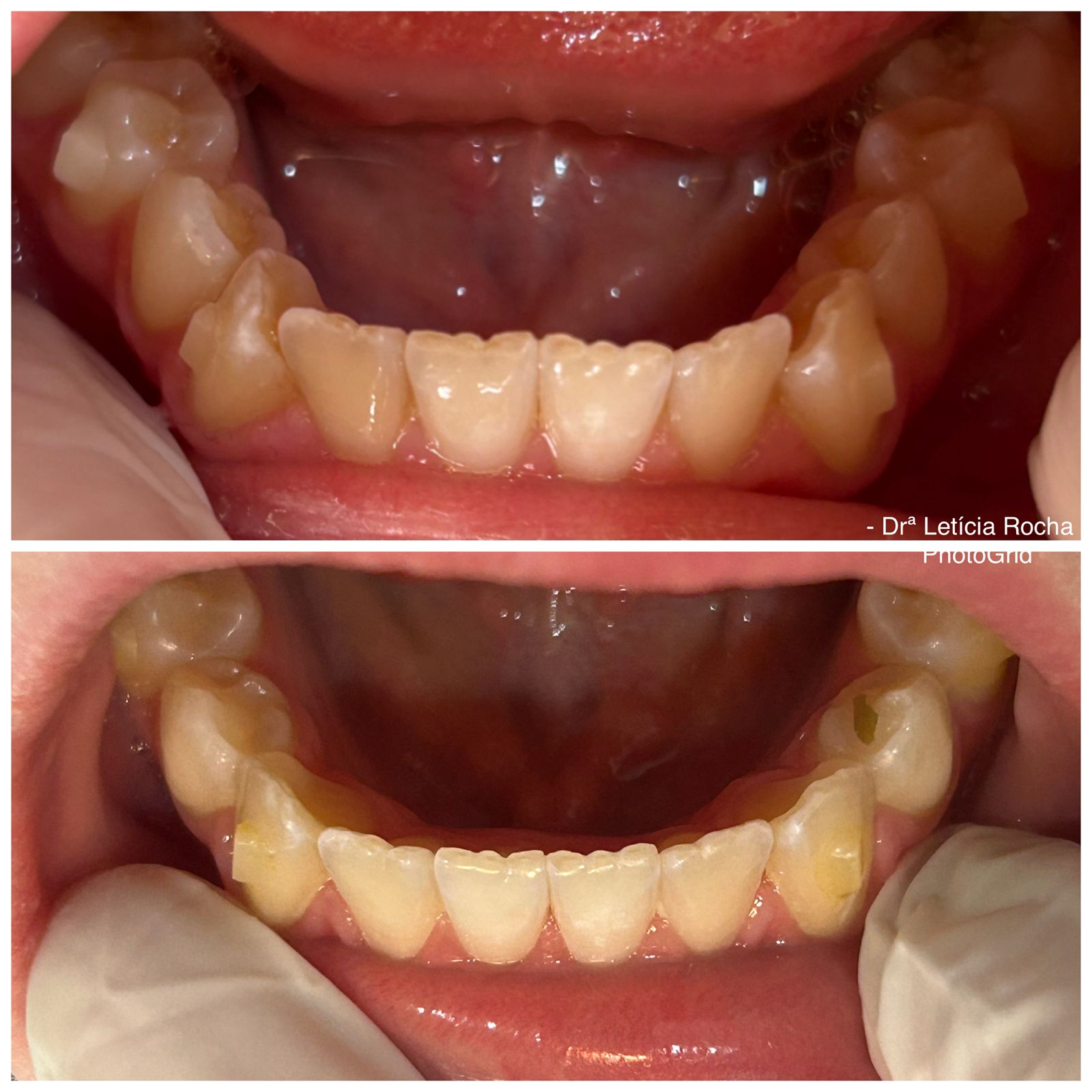
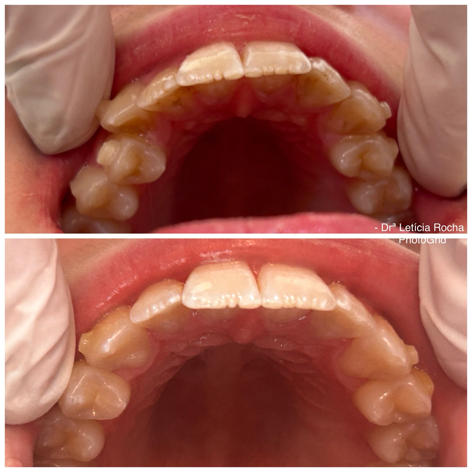
Resultados parciais (fotos do caso)




Quer saber se alinhadores servem para o seu caso?
Atendimento personalizado no Lago Norte – Brasília.
- Desapinhamento visível nos segmentos anteriores
- Melhora da forma dos arcos superior e inferior
- Alinhamento progressivo das bordas incisais
- Conforto e aceitação excelentes pela paciente
O que esperar até a finalização?
- Sequência de alinhadores
- Ajustes de elásticos
- Refinamentos
- Contenção ao final
Para quem é indicado?
- Quem valoriza estética e conforto
- Indicação clínica para alinhadores
- Disposição ao uso 20–22h/dia
Compliance CFO: conteúdo informativo; sem promessa de resultado. Imagens com autorização. Avaliação clínica necessária.
Pronto para avaliar seu caso com alinhadores?
Atendimento personalizado no Lago Norte (Brasília) com a nossa ortodontista.
Agende sua consultaRespostas são individuais. Avaliação clínica necessária.







